Клей Для Ран, Порезов (Для Переломов) Купить С ...
Переломы. Обучающая программа - презентация онлайн
Переломы. Виды переломов. Первая помощь при отк...
Лекарства при переломах | ФОРМА
Первая помощь при переломах - online presentation
Первая помощь при травмах. Переломы - презентац...
Первая помощь при переломах - презентация онлайн
Препараты при переломах костей — купить по низк...
Основные методы лечения переломов - online pres...
Лекарственные препараты при переломах костей
Переломы - презентация онлайн
Основы оказания первой помощи при переломах - п...
Виды переломов
Переломы голеностопа презентация - 86 фото
Что делать, чтобы предотвратить повторный перел...
Перелом По Типу фото
Основы оказания первой помощи при переломах - o...
Первая помощь при переломах
Основные методы лечения переломов - презентация...
👉 Как быстро вылечить перелом? - YouTube
Оказания первой помощи при переломах - презента...
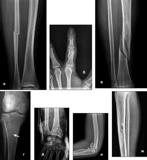
Перелом | Портал радиологов
Какие бывают переломы. Первая помощь при перело...
Голень (анатомия, первая помощь, переломы, лече...
Перелом предплечья со смещением у взрослого фото
Первая медицинская помощь при переломах - презе...
Переломы костей. Лечение переломов - презентаци...