Correlation between miR- 92a relative quantitat...
Imaging in multiple sclerosis | Journal of Neur...
ms-icon-310x310.png
ICP-MS data showing aqueous arsenic concentrati...
Initial conceptualization of the case of Ms. V ...
Sistemas Distribuidos: Tema 6: Asignación de Pr...
logo
The local electrograms recorded at a sweep spee...
SEJARAH MS-DOS (MICROSOFT-DISK OPERATION SYSTEM...
NEBULIZADOR BF-150 9.0 KG AUTOMATIC DC12V VOLTA...
MS Inside
MS ITAD OMS
Evolución de los sistemas operativos timeline |...
Ofimatica.: PRACTICA 1 DEL SEGUNDO PARCIAL
Daysi Cortes, Pre-Licensed Professional, Hilo, ...
Ms Plate Weight Chart In Kg
Sistemas Operativos : Evolución y Origen. timel...
LC-MS
Ms Vector Art HD Images | Free Download on Pngtree
Exercises For People With MS | Lunge exercise f...
Multiple Sclerosis Overview Signs Symptoms Types
Banda MS en Tijuana 2023
MS Logo PNG Transparent – Brands Logos
Time evolution (tUo/D\documentclass[12pt]{minim...
MS Hifz Academy | MS Education Academy
Free Vector | Set of flat design ms logo templates
Msdos png imágenes | PNGWing
Основные события правления Александра I (1801-1...
List
Ms.chasabankkk (@ms.craxhoutt) on Threads
Types of Multiple Sclerosis
MS-102: Microsoft 365 Administrator Exam Resour...
Nathan Wright, Counselor, Saint Petersburg, FL,...
MS-13 Logo - LogoDix
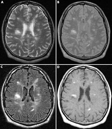
Multiple sclerosis | Radiology Reference Articl...
Dr
👍👍👍
Kc Initial Monogram Logo Stock Vector (Royalty ...
LC-ESI-MS base peak chromatograms of a mixture ...
"WELCOME TO INTRAMURALS 2022" - Blog