Страшная проблема с КОЛЕНЯМИ убивает весь орган...
Коленни връзки - Наранявания и решения | AllSport
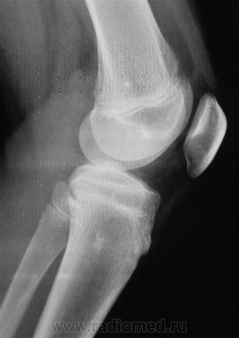
Еще коленки... | Портал радиологов
Колени | Портал радиологов
№19 Обхват колена - YouTube
Строение колена - коленного сустава человека: с...
Топографическая анатомия областей колена, голен...
Анатомия колена человека: мышц, связок, костей,...
Скъсани коленни връзки- къде се оперирахте? | З...
Брэнд ORLET размер М, обхват колена 35-40.. | Д...
Симптомы и лечение разрыва связок колена - YouTube
Бандаж для коленного сустава У-844 размер №4 (о...
модель колена стоковое фото. изображение насчит...
Čo spôsobuje opuch kolena? Príznaky a čo pomôže...
Б. Кенига? | Портал радиологов
Скопилась ЖИДКОСТЬ В КОЛЕНЕ при СИНОВИТЕ коленн...
Продам новые турмалиновые,согревающие наколенни...
Анатомия колена человека в картинках
ОБЛАСТЬ КОЛЕНА | Quiz
Защо въртят колената - 168 Часа
Статьи » Если болят колени
Коленка | Портал радиологов
Какой обхват колена считается нормой?
Зглоб колена - 3D модел - Mozaik дигитално обра...
Колено
Ендопротезиране на две коленни стави в рамките ...
Болят колени - Современная защита для суставов,...
Что нужно знать о растяжении связок колена - Yo...
При болка в КОЛЕНЕТЕ!Упражнение за облекчение н...
По поводу болей в коленном суставе направлен на...