Kerr Harmonize Unidose A2 Enamel 20x0.25g (3654...
Jual Composite/ Komposit - Harmonize - Kerr | S...
Kit Composite nanohíbrido universal Harmonize Kerr
Kerr Harmonize Composite Unidose Refill - 20 Pa...
KERR Harmonize | PATÁKOVO
HARMONIZE INTRO KIT KERR | Blasdent
Harmonize Intro Kit Kerr - DDI - Derom Dental I...
Composite Harmonize, Kerr – MayorDent – Líderes...
COMPOSITE HARMONIZE KIT INTRO – KERR – DENTAL A...
KIT DE COMPOSITE HARMONIZE KERR – Depodental
Harmonize Composites – STAR DENTAL SUPPLY
Harmonize refill 4g Kerr
Harmonize™ Composite Universal Kerr - ExpressDent
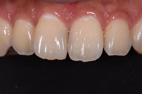
Class IV fracture freehand repair with Kerr Har...
Kerr - Harmonize Unidose
Harmonize Advanced Kit Kerr - DDI - Derom Denta...
COMPOSITE HARMONIZE KERR 4GR DENTINA - Cadent
Harmonize - Kerrdental
Kerr Harmonize™ - Vik Dental
OFERTA HARMONIZE INTRO KIT KERR – Depodental
Kerr Harmonize™ Composites | Dental restoration...
Kerr Harmonize Ultra 34773 | Optimus Dental Supply
Kerr Harmonize 36439 | Optimus Dental Supply
Harmonize Intro Kit Kerr - Dentstore
Depodental
GUIA DE COLOR HARMONIZE KERR - Nexo Dental
Kerr Harmonize Derotation of Tooth 11
COMPOSITE HARMONIZE 4 GR KERR - Dentosmed
GUIA DE COLOR HARMONIZE KERR - Dentosmed
Kerr Harmonize Tuba kompozita enamel - neodent.rs